Specjaliści z I Kliniki Kardiologii Uniwersyteckiego Centrum Klinicznego, szpitala GUMed, jako drugi zespół na świecie z powodzeniem zastosowali urządzenie A-Flux u pacjentki z dysfunkcją mikrokrążenia wieńcowego, tj. chorobą małych naczyń wieńcowych niewidocznych w standardowej koronarografii.
– To przykład skutecznego wdrożenia małoinwazyjnej terapii dla pacjentów z objawową dławicą piersiową, którzy nie mają istotnych zmian w dużych naczyniach wieńcowych a odczuwają dolegliwości dławicowe. Pacjenci zwykle odczuwają znaczną poprawę objawów po zabiegu – ból w klatce piersiowej się zmniejsza, a jakość życia wyraźnie się poprawia – podkreśla prof. Miłosz Jaguszewski z I Katedry i Kliniki Kardiologii GUMed, koordynator programu.
Nowa nadzieja dla pacjentów z dławicą oporną
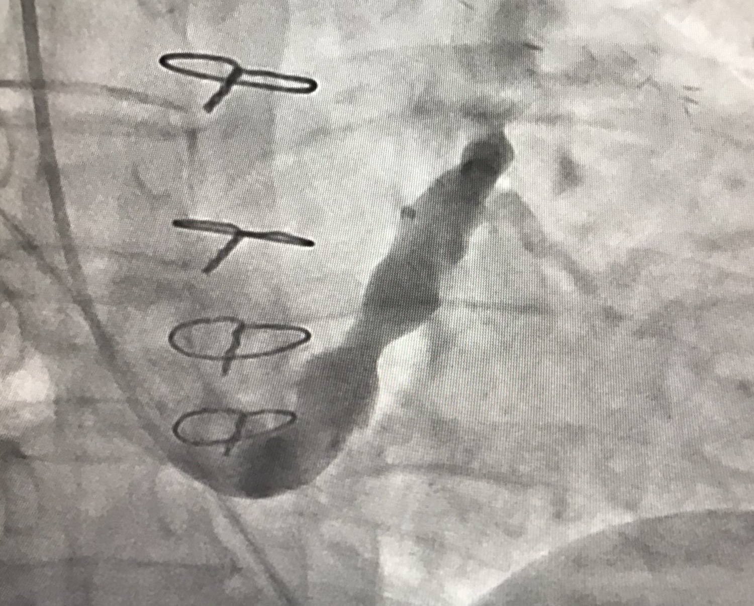
Dławica oporna to szczególnie trudna choroba, dotykająca pacjentów z przewlekłym zespołem wieńcowym, u których – mimo pełnego wykorzystania dostępnych metod leczenia interwencyjnego oraz optymalnej farmakoterapii – utrzymują się objawy niedokrwienia, takie jak bóle zamostkowe czy duszność przy wysiłku, a nawet w trakcie spoczynku. Jedną z opcji leczenia w takich sytuacjach jest implantacja reduktora przepływu w zatoce wieńcowej, zabieg małoinwazyjny wykonywany u pacjentów, u których nie ma możliwości skutecznej rewaskularyzacji, czyli udrożnienia zwężonego naczynia krwionośnego (tj. przezskórnego zabiegu angioplastyki czy pomostowania aortalno-wieńcowego), a optymalizacja leczenia farmakologicznego nie niweluje objawów wieńcowych. Procedura polega na implantacji dedykowanego stentu do zatoki wieńcowej, co prowadzi do wzrostu ciśnienia w układzie żylnym serca i mikrokrążeniu, w efekcie czego poprawia się przepływ krwi do tych części serca, które dotychczas były niedostatecznie ukrwione.
Ostatnie doświadczenia i badania pokazały, że terapia ta może mieć swoje zastosowanie również w przypadku chorych, u których nie stwierdza się istotnych zmian w naczyniach wieńcowych, a objawy dławicowe występują z powodu uszkodzenia mikrokrążenia, czyli unaczynienia serca, które nie jest widoczne w koronarografii.
– Zabieg wykonuje się z dostępu przez żyłę szyjną wewnętrzną. Polega on na implantacji dedykowanego stentu w kształcie klepsydry do zatoki wieńcowej, który powoduje kontrolowane jej zwężenie i następnie zwiększenie ciśnienia w układzie żylnym serca. Tym samym dochodzi do redystrybucji krwi w unaczynieniu wieńcowym z miejsc o mniejszym ukrwieniu do miejsc dotychczas niedokrwionych, poprawy perfuzji w mikrokrążeniu serca i redukcji objawów dławicy. Sam zabieg trwa zwykle kilkadziesiąt minut, wykonywany jest w znieczuleniu miejscowym, pod kontrolą fluoroskopii i kontrastu. Pacjent zazwyczaj może być wypisany ze szpitala następnego dnia. Poprawa objawów następuje zazwyczaj w ciągu kilku tygodni od implantacji, a efekty utrzymują się w obserwacji długoterminowej - wyjaśnia prof. Miłosz Jaguszewski.
– Co więcej, coraz więcej danych klinicznych wskazuje, że zastosowanie reduktora może przynieść korzyści również u pacjentów z tzw. dławicą mikronaczyniową – czyli z objawami niedokrwienia wynikającymi jedynie z zaburzenia funkcji mikrokrążenia wieńcowego, przy braku zmian w dużych naczyniach wieńcowych widocznych w koronarografii. U takich chorych często nie istnieją żadne alternatywne opcje leczenia interwencyjnego – stąd znaczenie rozwoju tej metody – dodaje dr Grzegorz Żuk, współkoordynator projektu.
Zespół kardiologów Uniwersyteckiego Centrum Klinicznego wdrożył tę metodę jako pierwszy w Polsce północnej.
Drugi ośrodek na świecie – pionierski zabieg z użyciem reduktora samorozprężalnego
UCK nie tylko wdraża innowacyjne terapie, ale również aktywnie uczestniczy w ich międzynarodowym rozwoju. Zespół I Kliniki Kardiologii był drugim ośrodkiem na świecie, który przeprowadził zabieg implantacji urządzenia nowej generacji A-Flux, będącego samorozprężalnym reduktorem przepływu w zatoce wieńcowej, w ramach tzw. compassionate use procedure – czyli szczególnego dostępu do leczenia u pacjenta bez innych opcji terapeutycznych, z objawami klinicznymi dławicy utrudniającymi funkcjonowanie pacjenta na co dzień.

– Wykorzystany implant to nowatorskie rozwiązanie inżynieryjne przypominające kształtem klepsydrę, które pozwala na bardziej elastyczne dopasowanie się do warunków anatomicznych zatoki wieńcowej. Urządzenie to znajduje się obecnie w fazie oceny rejestracyjnej przez amerykańską Agencję Żywności i Leków (FDA). Nasz udział w jego wdrożeniu potwierdza wysoką pozycję UCK w Gdańsku na arenie międzynarodowej jako ośrodka referencyjnego w zakresie nowoczesnej terapii dławicy opornej – zaznacza dr Dariusz Ciećwierz, koordynator Pracowni Kardiologii Inwazyjnej UCK.
Zabieg przeprowadzili: prof. Miłosz Jaguszewski (operator), dr Grzegorz Żuk (operator) oraz Francesco Giannini, ekspert z Włoch, co świadczy o doskonałej współpracy międzynarodowej w realizacji najbardziej zaawansowanych procedur medycznych.
Wspieramy rozwój nowoczesnego leczenia dławicy w Polsce północnej
Uniwersyteckie Centrum Kliniczne, szpital GUMed, aktywnie rozwija swoją rolę jako ośrodek szkoleniowy i ekspercki w zakresie terapii dławicy opornej z wykorzystaniem reduktora przepływu. W ramach programu rozwoju i wsparcia innych ośrodków medycznych specjaliści – dr Grzegorz Żuk i prof. Miłosz Jaguszewski – uczestniczyli w przeprowadzeniu pierwszych zabiegów implantacji reduktora w Kaszubskim Centrum Sercowo-Naczyniowym w Szpitalu Specjalistycznym w Wejherowie oraz w Szpitalu Uniwersyteckim nr 2 im. Jana Biziela w Bydgoszczy.
– To działanie jest elementem naszej szerszej misji: rozszerzania dostępu do innowacyjnego leczenia pacjentów w Polsce północnej oraz budowania sieci współpracy pomiędzy ośrodkami medycznymi i edukacyjnymi w zakresie terapii dławicy opornej i mikronaczyniowej – podkreśla dr Dariusz Ciećwierz i dodaje – UCK Gdańsk kontynuuje swoją misję jako lider innowacyjnych terapii w kardiologii inwazyjnej, oferując pacjentom z trudnymi zespołami wieńcowymi nowe szanse na poprawę jakości życia. Jesteśmy dumni, że nie tylko wdrażamy najnowocześniejsze rozwiązania, ale również wspieramy rozwój technologii medycznych na poziomie krajowym i międzynarodowym.
1 września tego roku podczas konferencji Europejskiego Towarzystwa Kardiologicznego (ESC), która odbyła się w Madrycie prof. Miłosz Jaguszewski reprezentował I Klinikę Kardiologii UCK, współtworząc sesję dotyczącą innowacyjnego leczenia dysfunkcji mikrokrążenia wieńcowego i dławicy opornej, włączając możliwość skutecznego zastosowania reduktora przepływu wieńcowego w tym wskazaniu.
Tekst i zdjęcia: UCK